El ojo seco es una alteración frecuente que produce ardor, molestia, visión borrosa y sensación de arenilla. Existen múltiples causas —disminución del componente acuoso, mucinoso o aceitoso, inflamación de la superficie ocular— y cada una requiere un enfoque distinto. En Rosario, realizo una evaluación completa para identificar el origen del ojo seco y personalizar su tratamiento.
En el ojo seco se produce por una alteración de su lubricación. Y las lágrimas son el lubricante natural ocular. Le proporcionan claridad y transportan nutrientes y anticuerpos para evitar infecciones.
La lágrima posee tres componentes principales, una capa de agua con minerales semejante al plasma, que es la que nutre y transporta los anticuerpos. Luego una capa de moco con mucha afinidad por el agua, que hace que la capa de agua se pegue a la superficie ocular. Y finalmente una capa muy fina de grasa, que es liberada por el párpado al contraerse, que evita la evaporación del agua y tiene un efecto desempañante.
El sistema de lubricación ocular se está produciendo y drenando constantemente y se libera a la superficie ocular en cada parpadeo. De esta manera mantiene limpio el ojo. El parpadeo cada 8 segundos aproximadamente hace que se distribuya la lágrima aclarando o ¨desempañando¨ la visión.
Cualquier alteración de los componentes de la lágrima o de la dinámica del parpadeo puede alterar la visión.


¿Cuándo se produce el ojo seco?
Evaporación excesiva de la lágrima: En la medida que miramos algo muy concentrados como lectura, conducir, pantallas, costura, etc, dejamos de parpadear y se dan una serie de mecanismos que llevan al ojo seco evaporativo. Más si el ambiente esta seco o climatizado. Es frecuente en estos casos la sensación de empañamiento, ardor y arenilla asociados a enrojecimiento ocular y lagrimeo. Los ojos grandes o muy abiertos o la malposición de párpados, como el ectropion o la parálisis facial, generan también ojo seco de tipo evaporativo.
Disminución de la producción de lágrima: Algunos medicamentos, el estrés, enfermedades reumáticas y trastornos hormonales como la menopausia, el hipotiroidismo y el uso de anticonceptivos, pueden disminuir algunos componentes de la lágrima generando ojo seco.
Alteraciones de la calidad de la lágrima: Los conservantes de los colirios, los descongestivos oculares, el uso de lentes de contacto y líquidos multipropósito en los ojos, los productos de limpieza de párpados y lavados oculares frecuentes con té o baños oculares, pueden modificar la propiedades de la lágrima y alterar la lubricación dando síntomas de ojo seco.
¿Cuáles son los síntomas de ojo seco?
Uno de los primeros síntomas de ojo seco es el empañamiento de la visión que mejora con el parpadeo. Es muy frecuente entre usuarios de computadoras y celulares de pantalla grande y entre portadores lentes de contacto.
La lubricación ocular es mínima durante el descanso nocturno así que el despertar es un momento donde se suelen percibir mayores síntomas de ojo seco.
Si se parpadea en momentos de mala lubricación puede dañarse la superficie ocular con microerosiones o queratitis. En estos casos se agregan al empañamiento, otros síntomas como sensación de ardor, arenilla, molestias con las luces que se acompañan de enrojecimiento y secreciones mucosas.


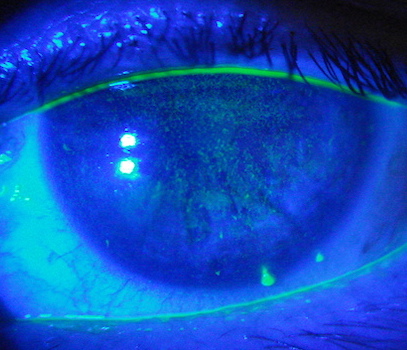
Tests Diagnósticos
El diagnostico del ojo seco es fundamentalmente clínico. Es decir que un oftalmólogo entrenado podria diagnosticarlo en una consulta. Sin embargo tambien existen tests para casos en los que el cuadro no es tan claro. Uno de ellos es la meibomografía que evidencia el aspecto de las glándulas de Meibomio productoras de grasa. Las tinciones con fluoresceína, verde de lisamina y rosa de Bengala muestran el daño instalado en la superficie del ojo debido al ojo seco. EL BUT o break up time evalúa la estabilidad de la lubricación, es decir que haya equilibrio entre los tres componentes principales de la lágrima.


¿Cuál es el tratamiento del ojo seco?
El tratamiento médico del ojo seco se basa en el uso de lubricantes, suplementos dietarios, cambios en los hábitos higiénicos y en casos de más severidad se pueden utilizar pequeños implantes que eviten el drenaje de las lágrimas a la nariz.
Los Punctum Plugs son pequeños oclusores de silicona que se colocan en los puntos lagrimales. Son muy pequeños y casi invisibles. Si se colocan solo en los puntos inferiores tienen efecto menor y, si se colocan en los superiores también, el efecto es máximo.
Con los tratamientos actuales es posible manejar todos los grados de severidad del ojo seco incluso el Síndrome de Sjogren que se asocia a veces a enfermedades reumáticas y que es uno de los mas discapacitantes sin el manejo adecuado.

Remedios caseros para el ojo seco
Muchos sitios promueven remedios caseros para el ojo seco. Me gustaría aquí dar algunas recomendaciones de lo que NO hay que hacer y que veo en mi consulta que ha generado más problemas que soluciones:
- Nunca asumir que el agua, agua con té, manzanilla o suero fisiológico sirven para humectar los ojos. Solo hace que los gérmenes de las pestañas entren en los ojos y generen secreción o conjuntivitis crónica. Incluso empeoran el ojo seco.
- El exceso de higiene o el uso de jabones en el rostro pueden empeorar el ojo seco.
- La cremas cosméticas y toallitas húmedas pueden generar alergias oculares
- No usar compresas frias o húmedas sobre los ojos.
